都说爱笑的人运气不会差,可是,拥有一口黄牙,怎么也不能任性的笑,就担心会给人留下不好的印象,到底,牙齿黄要怎么办呢?
牙齿发黄是很多人都存在的问题。也许有人会说,我每天都会刷牙啊,为什么牙齿还是那么黄呢?其实,每天刷牙也不能阻止牙齿变黄的,因为我们刷牙也是需要一点小技巧的,不是每天刷牙,牙齿就一定会很洁白的。

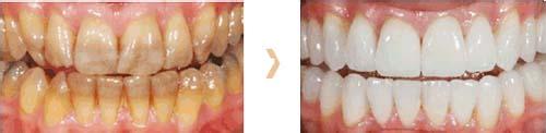
牙齿发黄——美莱冷光美白来帮您!
美莱beyond冷光美白,是一种新型的牙齿美白的方法,冷光美白牙齿,只需要冷光照射牙齿,短时间内就能恢复洁白的状态。
美莱冷光美白牙齿,是专业的口腔医生进行的,洁牙前会在牙齿上面涂上特殊物质,当然这种物质是安全的,然后再通过低温冷光治疗,牙齿瞬间变得洁白,不会损伤牙龈,不会出现疼痛。
通过美莱beyond冷光美白牙齿,不仅色素牙变得洁白了,而且还可以有效的减少口腔问题的出现,预防口腔疾病,定期洗牙是很必要的。
美莱冷光美白牙齿还具有下面几点好处:
1、深层洁牙,色素牙、黄牙、烟渍牙等等,都能有效的解决,让你拥有一口炫白亮牙。
2、安全,没有副作用,美莱冷光美白牙齿,都是在无菌手术室操作的,避免了出现感染的情况。
3、舒适,人性化的低温照射,过程舒适,不会有疼痛感,不会出现牙神经不适的情况。
冷光美白牙齿效果虽好,但是有一个很重要的需要提醒大家,那就是术后的口腔护理,我们做了冷光美白牙齿,还是要多多注意一下口腔,短时间内不要喝咖啡等含有色素多的食物,饭后记得要刷牙等等。
牙齿黄要怎么办?冷光美白是个很不错的去除色素牙的方法,想要拥有一口洁白的牙齿吗?那就赶紧行动起来吧!》》》点击了解详细内容

365天无假日医院

24H免费咨询热线